– 갑상선 결절 2 – 알기 쉬운 의학 이야기

오늘은 갑상선 결절에 대해서 알기 쉽게 말씀드리려고 합니다 예전보다 검진도 많이 받으면서 갑상선결… blog.naver.com

초음파로 본 결절의 형태에 따라 아래의 5가지 범주로 분류되는데, 이를 보면 어떤 의심 초음파 소견이 있는지 없는 자신이 중요합니다. 어려운 내용입니다만, 그럼 어떤 의심의 소견이란 어떤 것이 있는 것일까요?

결절 내부의 미세석회화(microcalcification): 결절 안에 작은 석회질 덩어리가 꽉 차 있는 것을 말합니다.

침상 또는 소엽성 경계(spicu lated or lobulated margin) : 결절의 경계가 매끄럽고 둥글지 않으며 뾰족한 바늘처럼 튀어나와 있거나 울퉁불퉁한 것을 말합니다.

세로길이(taller than wide):결절이 가로로 긴 것이 아니라 마치 위에 서 있는 것처럼 위아래가 긴 모양을 말합니다.

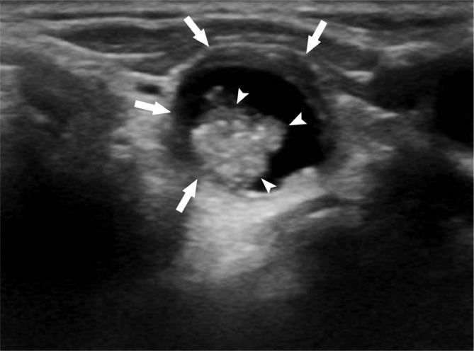
고형(solid): 초음파를 보면 액체 여부를 어느 정도 구별할 수 있는데 딱딱하게 보이는 구조물을 말합니다. 아래 사진은 알아보기 쉽게 액체와 고체부분이 섞여있는것을 가지고있는데요, 검은부분이 액체이고 그안에 밝은부분이 고체부분입니다.

저에코(hypoechogenic n odule) : 초음파에서 다른 조직에 비해 더 어두워 보이는 병변을 말합니다.

다음과 같은 병변이 있으면 일단 암일 가능성이 높아지므로 주의해야 합니다.위와 같은 악성화 가능성 및 기타 결절의 형태, 크기에 따라 세침흡입검사(finineed leas piration, FNA) 여부 결정합니다.

FNA는 주사 바늘을 이용하여 갑상선 결절의 조직을 추출해 내는 검사를 말합니다. 아프지 않고 쉽게 실시할 수 있는 검사이므로 검사 전에 무서워하지 않아도 괜찮습니다.

이렇게 검사를 하면 결과에 따라 앞으로 어떤 조치를 취해야 할지 결정하면 됩니다.

FNA를 할 기준이 되지 않으면 그냥 내버려 두어도 되는 건가요?

FNA를 실시하는 기준에 들어 있지 않은 경우는 6개월에서 1년 사이에 초음파 검사를 받으면서 결절의 형태가 바뀌는지 확인해야 합니다.

결절이 몇 개나 있으면 더 위험한가요?

다발성 결절에 있는 환자도 악성 위험도는 단일 결절 환자와 동일합니다.그러므로 두 가지 이상 발견된 경우 크기보다 초음파 소견상 악성 위험도가 높은 결절에서 우선적으로 FNA를 진행합니다. 악성 위험도를 볼 수 없는 결절이면, 큰 결절에서만 FNA를 하게 됩니다.

FNA에서 이상이 없다고 나오면 안심해도 되나요?일단은 안심해도 되지만 검사를 하는 것이 정확한 것은 아닌 것 같습니다. 일단 결절 전체를 추출하는 조직검사가 아니기 때문에 결절 중 암이 포함되어 있는 경우 정상조직만 떼어내서 발생하는 결과 오류가 있을 수 있고 경험이 많은 세포병리학자가 판독하는 경우 진단율이 90% 정도이기 때문에 암이 의심되면 정상적으로 나타나도 반복적으로 FNA를 할 수도 있습니다.

지금까지 갑상선 결절에 대해 간단히 알아보았지만

결론적으로 갑상선 결절이 있다고 해서 너무 두려워하지 말고 그에 따른 적절한 조치를 취하고 정기적인 검사를 하는 것이 최선이라고 할 수 있습니다.

댓글과 공감은 저에게 큰 힘이 됩니다~~

error: Content is protected !!